
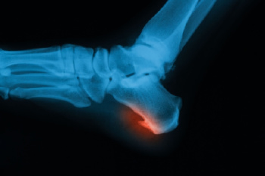
Heel spurs are bony growths that form on the calcaneus, or heel bone, after long-term stress or irritation. These spurs often develop when repeated pulling from tight soft tissue at the back of the ankle places strain on the bone. Eventually, the body responds by laying down excess calcium, creating a pointed growth that looks like a spur. Heel spurs can form underneath the heel or at the back, sometimes causing a visible lump. Symptoms include sharp pain with the first steps in the morning, a lingering dull ache during the day, stiffness, numbness, or thickened skin from friction. A podiatrist can assess foot alignment, evaluate walking patterns, and order X-rays to confirm the diagnosis. Treatment options include custom orthotics, bracing, anti-inflammatory care, or surgery when necessary. If you have pain from heel spurs that affect daily activities, it is suggested that you make an appointment with a podiatrist for an exam, diagnosis, and treatment.
Heel spurs can be incredibly painful and sometimes may make you unable to participate in physical activities. To get medical care for your heel spurs, contact Wendy K. Stinson, DPM from New Jersey. Our doctor will do everything possible to treat your condition.
Heels Spurs
Heel spurs are formed by calcium deposits on the back of the foot where the heel is. This can also be caused by small fragments of bone breaking off one section of the foot, attaching onto the back of the foot. Heel spurs can also be bone growth on the back of the foot and may grow in the direction of the arch of the foot.
Older individuals usually suffer from heel spurs and pain sometimes intensifies with age. One of the main condition's spurs are related to is plantar fasciitis.
Pain
The pain associated with spurs is often because of weight placed on the feet. When someone is walking, their entire weight is concentrated on the feet. Bone spurs then have the tendency to affect other bones and tissues around the foot. As the pain continues, the feet will become tender and sensitive over time.
Treatments
There are many ways to treat heel spurs. If one is suffering from heel spurs in conjunction with pain, there are several methods for healing. Medication, surgery, and herbal care are some options.
If you have any questions, please feel free to contact our office located in Parsippany-Troy Hills, NJ . We offer the newest diagnostic and treatment technologies for all your foot care needs.



